Продължавайки да разглеждате сайта се съгласявате с използването на бисквитки от нас и нашите партньори. Повече информация.
Затвори

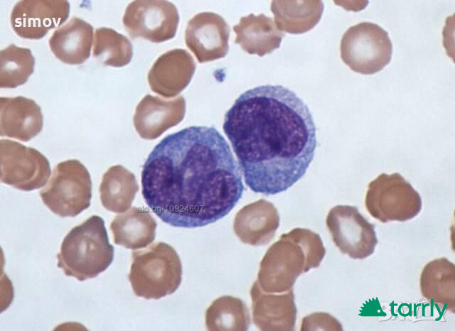
Азур-еозин по Романовски 99 прах-багрило за микроскопскопия.

Оцветяването по Романовски е прототипна техника за оцветяване, която е предшественик на няколко различни, но подобни оцветители, широко използвани в хематологията (изследване на кръвта) и цитопатологията (изследване на болни клетки).
Оцветителите от типа Романовски се използват за диференциране на клетки за микроскопско изследване в патологични проби, особено кръвни и костномозъчни филми и за откриване на паразити като малария в кръвта.

Цена - 2 евро/гр. и куриерски

За автора

Мнения от други потребители

За тази обява все още няма оставени мнения от другите потребители
Няма мнения за тази обява Все още никой не е оставил своето мнение

Още обяви

Снимка номер 1 за Монофазен генератор 5kW под наем
Продавам 20.45 евро
Монофазен генератор 5kW под наем

Цената е на ден с ДДС.Депозит.За по-дълъг период отстъпки.За повече информация на посочения телефон или на www.rentalbg.eu.Rentalbg предлага голяма гама машини и вишки под наем на най-добри цени.

Снимка номер 1 за строителен инвентар
Продавам 6391.15 евро
строителен инвентар

строителен подемник височина - 5 етажа ( 7 звена), модел ТОРГАР Т3-05, 500кг

Снимка номер 1 за Тесла 550 гр българска
Продавам 10.23 евро
Тесла 550 гр българска

Тесла 550 гр българска е с отвор за дръжка ф30 мм, предрага се без дръжка. Теслата намира приложение предимно в строителната сфера, като може да се използва и за определени ремонти у дома. Тя е практичен…